Liigu peamenüü juurde 26.02.18 TEADUSELU ... "Ei, me ei pea kohtuma ilmtingimata laboris, koha võid ise pakkuda. Jah, reede õhtul sobib ka". Lootus saada Eesti Noorte Teaduste Akadeemia presidendi Els Heinsalu (37) kohta teada midagi enne temaga sama laua taha istumist näib olevat määratud eos läbikukkumisele.
30.09.17 HARIDUS ... Ülikoole ja teadlasi kritiseeritakse tihti liiga kitsaste uurimisteemade valimise pärast, millest pole vähemalt näiliselt argiprobleemide lahendamisel mingit erilist kasu. Eesti Noorte Teaduste Akadeemia liikmed näitavad aga haridusteaduse näitel, et täpselt seatud kitsas teadustöö fookus on teinekord mitmetahuliste probleemide lahendamiseks hädavajalik.
03.06.17 NOORTEADLASED ... Geenivaramu asedirektoril, populatsiooni ja funktsionaalse genoomika vanemteaduril Tõnu Eskol on mõistagi ka oma geenid uuritud ning teadaolevaid suuremaid riskimutatsioone pole seal ilmnenud. Tema DNA on “igav” ehk geenid on head, tervis, kasv ja akadeemiline võimekus ning muud näitajad on soodsad.
26.04.17 KIRJANDUS ... Eesti Teaduste Akadeemia president Tarmo Soomere rääkis "Kirjandusministeeriumis" kogumikust "Teadus kolme minutiga", mille algatas tema ja koostas Ebe Pilt. Soomere mõtiskles ka teaduse seisust ühiskonna asjus.
11.03.17 LOODUS ... Kui inimesed mõtlevad hapnikust tavaliselt kui millestki, mis on eluks vajalik, siis tegelikult on hapnik ka mürgine gaas, kuna see reageerib hõlpsasti mitmesuguste ainetega. Richard Meitern uuris Tartu ülikoolis kaitstud doktoritöös, kas mõningate praegu kasutatavate vahenditega on üldse võimalik õigesti oksüdatiivset stressi mõõta.
14.12.16 NOORTEADLASED ... Pessimistliku prognoosi kohaselt sureb sajandivahetuseks välja 90 protsenti täna kõneldavatest keeltest. Kuidas protsessi teadlikult sekkuda, sellest räägib Tallinna ülikooli füüsika doktorant Sander Paekivi.
07.12.16 NOORTEADLASED ... Kumb on siidri ja õlle valmistamiseks parem – metsik või kultuurpärm? Võimatu öelda. Küll aga näitlikustab Tallinna tehnikaülikooli doktorandi Rain Kuldjärve teadustöö, et teaduspõhise lähenemisega on võimalik tuua rahvusvahelistelt siidrikonkursitelt koju auhindu.
23.11.16 NOORTEADLASED ... Viimastel aastatel on leiutatud mitmeid nanomaterjale, mida leiab juba erinevatest toodetest ja millele pannakse suuri lootusi meditsiinis ja elektroonikas. Kui esmapilgul võib tunduda, et nanomaterjalidest saabki vaid kasu, võivad head omadused muuta need elusloodusele samas ka ohtlikuks, märgib keemilise ja bioloogilise füüsika instituudi nooremteadur Katre Juganson.
16.11.16 NOORTEADLASED ... Kolme minuti teadusvideote sari tutvustab Eesti noorteadlaste uurimusi. Sarja esimeses klipis räägib Tallinna tehnikaülikooli mehaanikateaduskonna doktorant Juri Ess, kuidas ennetada õnnetusi parema liikluskorralduse abil.
24.08.16 NOORTEADLASED ... Tartu ja Turu ülikooli materjaliteaduste doktorant Marta Tarkanovskaja oli üks 80 riiki esindavast 400 noorest, kes käis Eesti parima noorteadlasena mainekal Lindau foorumil kohtumas Nobeli preemia laureaatidega.
23.02.16 NOORTEADLASED ... Eesti praegune teadusrahastuse seis on sedavõrd kehv, et projekti ebaõnnestumise korral on noorteadlaste võimalus uuesti raha saada nullilähedane, kirjutab Leideni ülikooli astrofüüsik Mihkel Kama. Abi oleks noorteadlastele ja väiksematele uurimisrühmadele suunatud uurimistoetustest, millega saaks Eestisse meelitada ka andekaid doktorante välismaalt.
24.01.16 NOORTEADLASED ... Juhuslikkus on maailma lahutamatu osa. Sellegipoolest vajab täiesti juhuslike reaalarvude kirjeldamine matemaatilist mudelit – maailmas pole lihtsalt lõpmatu arvu külgedega täringut, mida päriselulise abimehena kasutada.
22.01.16 NOORTEADLASED ... Mõned inimese rakud peavad töötama kogu aeg ja pidevalt. Näiteks inimese südamelihasrakud tarbivad selle käigus päevas umbes kuue kilogrammi jagu ATP'dena tuntud universaalset energia talletajat. Kuidas rakus ainevahetusprotsessid rakus täpselt käivad, seda uurivad Tallinna tehnikaülikooli küberneetika instituudi teadlased.
20.01.16 NOORTEADLASED ... Cambridge’I ülikooli doktorant Halliki Voolma pidas konverentsil “Eesti noorteadlased välismaal” ettekande teemal „„Mu elu oli täielik põrgu": immigrantidest naiste kogetud koduvägivald Inglismaal ja Rootsis”.
19.01.16 NOORTEADLASED ... Warwicki ülikooli doktorant Teet Teinemaa pidas konverentsil Eesti noorteadlased välismaal ettekande teemal “Juhuslikkuse tähtsus filmis ja filosoofias: filmi "13 vestlust ühest asjast" dialoog Jacques Rancière'i mõttega“.
15.01.16 NOORTEADLASED ... Eesti noorteadlaste konverentsi raames astusid üles ka mitte enam niivõrd noored teadlased, teiste seas Tallinna tehnikaülikooli keemiainstituudi keemia õppetooli juhataja Margus Lopp, kes jagas näpunäiteid Eesti teadussüsteemis hakkama saamiseks.
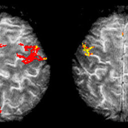
14.01.16 NOORTEADLASED ... Magnetresonantstomograafia uuring võimaldab meil inimkehast teha pildi, kuid see võtab aega ning seda aega tihtilugu pole. Kuidas saada MRT pilt kiiresti ja kvaliteetselt, sellele on võimalik lahendus matemaatikute ja füüsikute kätes.
13.01.16 NOORTEADLASED ... ETH Zurichi doktorant Johannes Heinsoo pidas konverentsil „Eesti noorteadlased välismaal“ ettekande pealkirjaga „Ülijuhtidest kvantarvuti ja nelja kvantbiti põimolekud”.
13.01.16 NOORTEADLASED ... Kuidas tehakse kaasaegset tuumafüüsikat ning milliseid eksperimentaalseid võtteid selle uurimisel kasutatakse, rääkis Glasgow ülikooli doktorant Bruno Strandberg.
12.01.16 NOORTEADLASED ... Mida peaks tegema, et teadusmahukad töökohad tekiksid ka Eestis ning värsked doktorid ei näeks karjäärivõimalusi üksnes ülikoolide juures, sellest rääkis oma kogemusele tuginedes dr Rainer Küngas, kes oma teadmisi rakendab Taani tööstussektoris.
12.01.16 NOORTEADLASED ... Kadi Liis Saar on oma doktorantuuri raames välja töötamas microfluidics platvormi, mis võimaldaks kiiret, efektiivset ja hästi-kontrollivat biomakromolekulideuurimist nende naturaalses vesikeskkonnas.
11.01.16 NOORTEADLASED ... Teadus. Mis on teadus? Teadus on midagi enamat, kui üks teadlane või grupp teadlasi oma laboris istumas ja eksperimente tegemas või laboris vinge lõhnaga kemikaale sünteesimas. Jah, vahel tuleb ka seda ette, aga teaduse pale on midagi palju rohkemat, mitmetahulisemat ja laiemat.
11.01.16 NOORTEADLASED ... Kui 2012. aastal saadi kinnitus, et Higgsi boson tõepoolest eksisteerib, siis viimased kolm aastat osakestefüüsikas on möödunud selle osakese tundmaõppimisele.
11.01.16 NOORTEADLASED ... Selle, kas planeet on elukõlbulik, määrab osaliselt selle koostis. Samuti annab planeedi koostis teavet planeedi tekkeprotsesside kohta. Millest koosneb Maa? Sellele küsimusele püüab vastata astrofüüsik Mihkel Kama.
08.01.16 NOORTEADLASED ... Pimedad punktkirjalugejad sarnaselt nägijatele loevad kogemuse suurenedes kiiremini ja teevad vähem vigu. Miks see nii on, seda uurib Anneli Veispak, kes on järeldoktorant KU Leuvenis.
08.01.16 NOORTEADLASED ... Toitained, mis on sööda sees, mõjutavad seda, kui palju metaani loom eritab. Selleks, et leida viis, kuidas loom eritaks võimalikult vähe metaani, kuid saaks sealjuures ka söönuks, uurib Rootsi põllumajanduskooli järeldoktorant Marko Kass.
07.01.16 NOORTEADLASED ... Eesti Teaduste Akadeemias toimus konverents „Eesti noorteadlased välismaal“, kus üle maailma teadust tegevad eesti noored teadlased tutvustasid oma uurimistööd.